8 - Anatomy, physiology and pathology of the State - kidneys
And
here is another piece in our series - our puzzle of how a State would look like
if it was a human body.
We
last talked about about lungs as investments, bringing money in the system; and
before that, we compared blood to money and the heart to trade.
A
major player in regulating blood homeostasis is the kidney. What would a good
equivalent be in a State?
Let
us unravel it.
Anatomy
- Kidneys filter blood as Central Banks check on finance and economy
![]() |
| from Johnson MD, Human Biology, Concepts and Current Issues, 7th Edition; the Urinary System [https://slideplayer.com/slide/6204959/] |
Kindeys
are remarkable organs. Their functional unit is the nephron, made of the glomerulus, the Bowman's capsule and the renal tubule. The filtration process is carried by the glomerulus, with an arteriole that enters and divides to form a net of capillaries.
Those then recompose themselves in another arteriole which exits the glomerulus. The
whole surface of the capillaries in the glomerulus is covered by podocytes,
specialized cells whose extensions act as tight filters. The blood flows in the
glomerulus, is filtered at the capillary level and then leaves. What is filtered - water, salts, glucose, metabolic wastes
like urea, which are thus separated from the blood - is collected by the
Bowman's capsule which defines the external limit of the glomerulus. From
there, the filtered liquid flow through the renal tubule and is further processed -
water and substances of interests can be reabsorbed, or not. The eventual
output is urine.
Within
a State, similar functions are performed by the Central Bank in respect to
money flow and reserves. By surveillance on the State's financial and credit
Institutes policy, the Central Bank should be able to force inappropriate
financial operations out of the system. It is the case of risky investments on
indebted and failing business - something that can result in speculative bubbles with dangerous consequences. Such by-products of a market economy can't
be avoided - as metabolic wastes will always be part of the blood - but to keep
the system healthy they must be limited and eventually discharged. The control
from the Central one on the other banks acts as the podocytes ensemble,
filtering the finance and setting the conditions for the regulation of the flow
of money.
Physiology
- Kidneys adjust blood volume, like Central Banks modulates money availability
and inflation
Kidneys
have their own means to correlate the total blood volume with the
excretion of urine. Specialized cells (baroreceptors) in the arterioles walls directly check on blood pressure when entering the glomerulus. The cells of the macula densa, part of the juxtaglomerular apparatus, are deputed to sensing the concentration of salt (Na+, sodium) in the to-be-excreted liquid. Reduced blood pressure and low Na+ concentration both triggers (or
not) the renin-angiotensin-aldosterone release response, a feedback that
increases blood pressure in response to hypotension and/or hypovolemia.
![]() |
| from http://www.uniroma2.it/didattica/FISIOLOGIA_BEU/deposito/Lezione17.reneII..pdf |
The point
is to always ensure homeostasis, the dynamic balance of the blood flow. Under
physiological conditions, it is one the mechanisms that adjusts the amount of urine
on the basis of how much water has been drunk. It also keeps more or less
constant not only the blood volume - but also its compositions in terms of
salts and cells concentrations.
The
Central Bank has similar goals and functions in the context of the State. Interest
rates and control of inflation are instruments used to keep the purchasing
power in line with the economy. A substantial economic growth will
physiologically result in an increased inflation, equilibrating the amount of
circulating money. An imbalance, as in too much inflation or deflation, even if
starting as a protective measure, will impact economy in different ways and
eventually will hurt it.
Pathology
- Kidney disease reflects a Central Bank inability to regulate economic
stability
Kidney
diseases can have different causes, also depending on whether the damage is
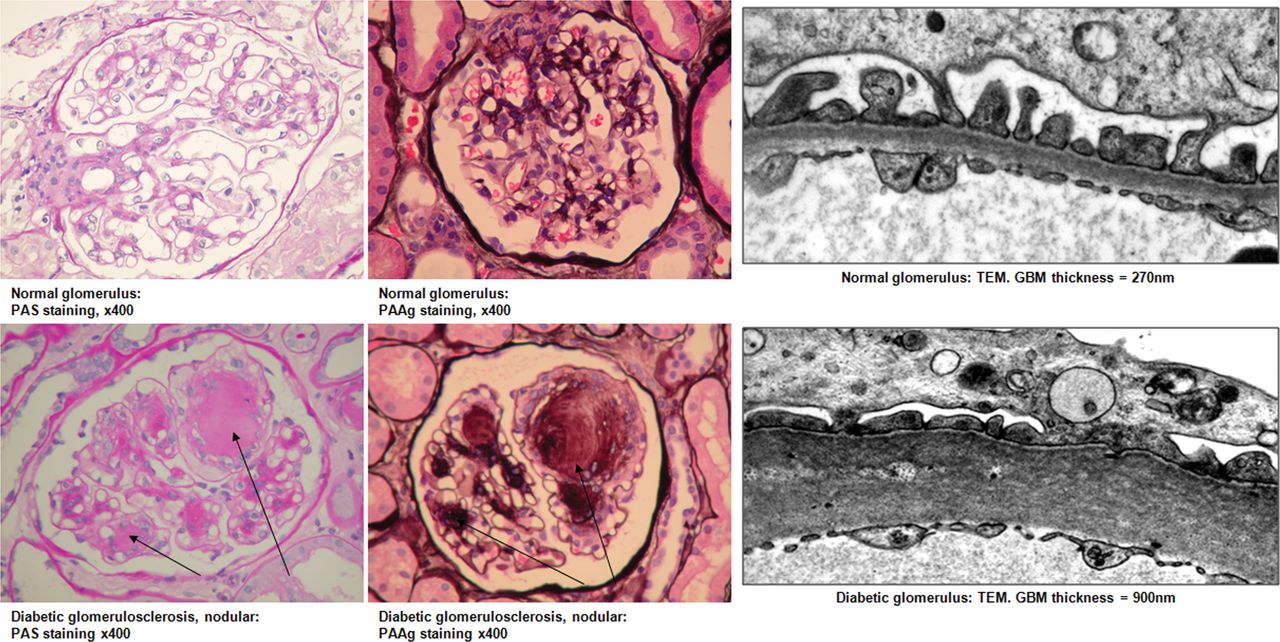
acute or chronic. Hypertension, as in diabetes mellitus, and infections (nephritis) are
associated with chronic kidney disease. In particular, hypertension can eventually cause capillary swelling, increased membrane thickness and podocytes loss in the glomerulus. This makes filtering at the glomerular level less efficient and is stressful for the kidney.
The disruption of kidney functions leads to further imbalances in blood volume, pressure and solute (like salts and glucose) concentration. Depending on the cases, symptoms can include hypovolemia or
hypervolemia; hyponatremia or hypernatremia; hyperglycemia and glycosuria; and azotemia, since urea and other
substances (mainly derived from the aminoacids metabolism) are not efficiently
excreted anymore within urine. While fluctuations in blood volume and solute concentrations can be physiological, if they are not balanced they become life-threatening.
Similarly,
the actions of Central Bank can be ineffective for multiple reasons. The
specifics of economy, finance and politic - and the results of their
interactions - are determinant to creating the scenario of a particular crisis.
We can compare hypervolemia and hypernatremia to deflation, as in an excess of
money in relation to the cost of life - with potentially dangerous impact on
public and private debts. Of course, for simmetry, hypovolemia and
hyponatremia would be inflation, with reduced purchasing power. In case of
crisis, those parameters become much more dangerous for economy than risky
financial operations - like hypovolemia and hypervolemia likely cause death
faster than just azotemia.
![]() |
| Inflation and price stability in a dynamic equilibrium. [from https://econfix.wordpress.com/2011/07/02/ price-level-targeting-and-inflation-targeting-part-1-the-theory] |
Normally
- under physiological conditions - kidneys and Central Banks are both efficient
in performing their functions and crucial in keeping balance. Central Banks are
able to exert their powers over the State economy by adjusting
the interest rates, the cost of money and the market of the sovereign
bonds. Because of this, politic can be motivated to influence and interfere
with Central Banks. Also, while the general goals of Central Banks are constant
and objective, the specific actions to reach them vary with time and occasions
- and are ultimately subject to the judgement of the economists in charge.
Evaluation errors and wrong policies are thus possible and at that level can
have disastrous consequences - as kidney failure has.
Concluding
remarks
Blood
circulation and money flow need to carefully balanced, without huge or sudden
variations in the parameters defining them. Those parameters are interconnected
and the systems regulating them must act ready and precise.
Kidneys and Central
Banks both have instruments to reach and maintain a dynamic equilibrium, where
variations are allowed and the system is flexible but in the end homeostasis
must be assured. In human physiology, this means a blood flow with constant
volume and solutes concentration; in a State, it translates into an economy
constantly growthing. It is something that a Central Bank must be careful in supporting without overtly altering it.




Comments
Post a Comment